
Do you want feet like your mother? For many people, the answer to that question is a resounding no! The great thing is you can avoid and correct common problems suffered by your parents - like bunions, hammertoes and other foot pain. Whats more, you can do it without surgery and without orthotics.
Surgery to correct bunions and other foot problems is the fourth most common joint procedure, but unfortunately it can result in complications,take significant healing time and cost thousands. Surgery on a weight bearing area always presents challenges.
Meet Jennifer, aged 69. Jennifer had moderate bunions on both feet. She experienced foot pain for years, adjusting footwear to accommodate her feet.
In Jennifer's case, her goal was to avoid her mothers terrible bunions so she could remain active and healthy.
Jennifer was excited when we told her that we could straighten her toe and reduce her bunions without having to throw out her favorite shoes or reduce her general activity.
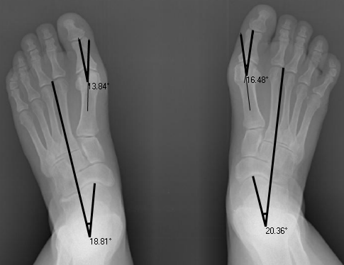
Following our initial assessment, which included an x-ray, we prescribed a course of foot mobilisation therapy in conjunction with strengthening exercises.
On measuring the difference between the angles of deviation before and after treatment, our foot specialist found that Jennifer's bunions had reduced significantly with an 8 degree change in her right big toe and 4 degrees on the left. An ideal reading is between 12-15 degrees.The great news is that with minimal ongoing podiatry treatment, we will be able to further straighten the bunion until there is no deviation whatsoever. The magnitude of improvement only took three months, and the best is yet to come.


At Corrective Foot Solutions, we are the only clinic in Tauranga and New Zealand that can straighten your bunion naturally, and we believe you shouldn't have to resort to surgery or give up the shoes you love.
Well done, Jennifer!
"I only wish I had found you sooner!"
Finally, a Podiatry solution to fix your aching body. FMT is a extremly effective alternative to expensive surgery and orthotics. You can also wear the shoes you want!
