Bunions affect one in three New Zealanders. According to doctors and most podiatrists, the only way to correct a bunion is surgery.
Many people remain unaware of the fact that here's a painless and natural way to effectively treat and correct your bunions, which doesn't require either expensive surgery or orthotics.
Meet Graham, who attended Corrective Foot Solutions due to significant bunions. Not only did he have advanced bunions,he was suffering from arch pain and clawed toes.

Graham was highly motivated to fix his feet so he could enjoy walking again and was pleasantly surprised to hear we were confident that not only could we treat his foot pain but could correct his bunion deviation without surgery.
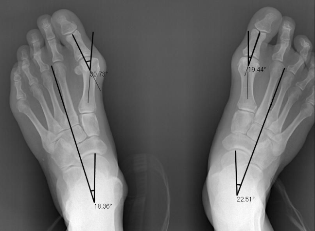
We completed his initial assessment which included an x-ray. This is Grahams initial x-ray. As you can see below his x-ray shows a bunion angle of 30.73 and 19.44 degrees. The ideal angle is 12-15 degrees.
Graham was disciplined with his exercises and turned up to all his appointments. The first four weeks were the most intense aspect of the treatment, with reduction in frequency of visits after that.
We followed up with another x-ray to measure Grahams results. We manged to get down to 16.92 and 11.28 degrees! In Grahams case he has had a significant improvement! Not only have his bunions straightened, his foot pain has resolved.
At Corrective Foot Solutions we have successfully treated hundreds of bunions and believe that there is a better alternative to surgery in most cases. We feel the sooner the bunion is treated, the better the long term results.
Type image caption here (optional)

"I only wish I had found you sooner!"
Finally, a Podiatry solution to fix your aching body. FMT is a extremly effective alternative to expensive surgery and orthotics. You can also wear the shoes you want!
