Meet Janine a patient who attended Corrective Foot Solutions due to a painful bunion on her right foot. Janine was highly motivated to get her bunion treated as she had a few family weddings to attend. She was pleasantly surprised to hear that we could not only resolve her pain but could correct the alignment of her big toe without changing her footwear or limit her lifestyle. Janine mentioned in her initial assessment that she wanted to avoid surgery and didn't mind travelling up from Whakatane if we could help her!
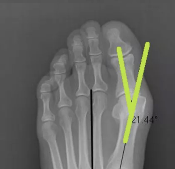
We completed a hands on joint assessment, which included an x-ray. This is Janine's initial x-ray. As you can see below, her x-ray shows that her bunion angle was 21 degrees. The ideal angle is 12-15 degrees.


We then followed up with another x-ray after a short course of Foot mobilisation therapy. As you can clearly see in Janine's case, her bunion has straighten by 12 degrees. She now has no pain and is still wearing her favourite shoes. Well done Janine!
"I only wish I had found you sooner!"
Finally, a Podiatry solution to fix your aching body. FMT is a extremly effective alternative to expensive surgery and orthotics. You can also wear the shoes you want!
