A bunion is a deviation of the big toe towards the middle of the foot. Without treatment, a bony growth may develop, causing a bump or enlargement on the side and over the top of the big toe. Given that there is a misalignment within the joint, bunions are usually (but not always) painful, and generally result in osteoarthritis within the big toe joint. Bunions are commonly associated with irritation in footwear, and are often a source of embarrassment due to the changed appearance of the sufferer’s feet.
Bunions are generally caused by the way that someone walks and stands. At Corrective Foot Solutions, we always address the underlying cause first – our treatment approach can correct the bunion and stop it from coming back.
Many people think that surgery is the only treatment option for bunions. However, FMT is extremely successful in most cases. Using this method, we gently guide the joints back into the correct position and then strengthen the muscles around that joint to reinforce a new position. As a result, the body will naturally straighten the bunion, with help from the hands-on therapy that you receive in the clinic.
Treatment for bunions is recommended as early as possible, even if the sufferer feels no pain. Studies tell us that our bodies only feel pain during the later stages of a condition. So, by the time you are feeling pain, significant damage has already occurred. The sooner treatment is started, the sooner the underlying cause can be addressed.
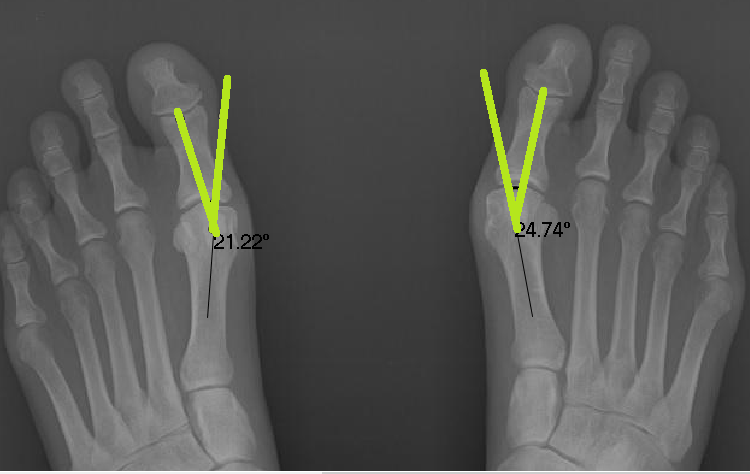
Below is a patient who has completed a short course of Foot Mobilisation Therapy here at Corrective Foot Solutions.Before the treatment the bunion angles are 21.22 and 24.74 degrees. Normal angles are between 12-15 degrees.

Post treatment angles are 14.8 and 13.3 degrees- a significant change of 11 and 7 degrees. NO surgery required and a happy patient!

Call today on 079250269 for a free complimentary assessment when you mention this article.
"I only wish I had found you sooner!"
Finally, a Podiatry solution to fix your aching body. FMT is a extremly effective alternative to expensive surgery and orthotics. You can also wear the shoes you want!
