
Meet Cheryl, a motivated client with a typical case of bunions. Determined to prevent her bunions getting worse she decided to get an assessment here at Tauranga podiatrist Corrective Foot Solutions.
At Cheryl's first appointment she mentioned her bunions weren't painful but was nervous as they were starting to get worse.
After a hands-on joint assessment our podiatrist noticed that Cheryl's feet were rolling in and placing increased load onto her big toe joint. We referred off for an x-ray to further assess the misalignment in the joints.
Cheryl was surprised to hear that we could help prevent her bunion getting worse and address the underlying cause so that her big toe straightened. We prescribed our bunion program which included joint mobilisation, manipulation and at home exercises.
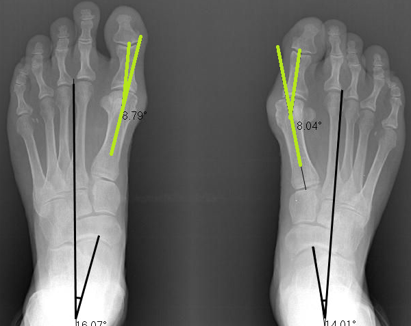
Below is a before and after x-ray. As you can see, her bunions were 26 and 29 degrees misaligned which is moderate-advanced stage bunions.
After a short 3 month course of treatment, we followed up with another x-ray. You can clearly see that her bunions have significantly straightened to 9 and 18 degrees.
17 degrees of straightening without surgery is a fantastic achievement!
Cheryl has now got the knowledge on how to maintain this change and is wearing more of her shoes and more often as a result.
Well done Cheryl - no need for expensive and painful surgery!


"I only wish I had found you sooner!"
Finally, a Podiatry solution to fix your aching body. FMT is a extremly effective alternative to expensive surgery and orthotics. You can also wear the shoes you want!
