Jim presented to Corrective Foot Solutions because he had severe pain in his right knee that wasn't going away. Frustrated that he had seen physiotherapists, doctors and even tried orthotics from a general podiatrist, with no relief. Desperate to get back to running he decided to give us a go after hearing some positive results at our clinic.
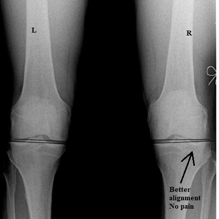
After his initial assessment we referred Jim for a weight bearing x-ray of both his feet and knees to measure the level of misalignment. We found significant joint misalignment's (subluxations) in both feet, having a direct impact on the right knee. The subluxation you can see on the x-ray below highlights narrowing of the joint space.
Can you imagine the pain experienced when 3 times your body weight is forced through the joints when running!
We completed a course of foot/knee mobilisation and manipulations with exercises. Within 6 weeks Jim noticed a significant change in both knees and feet. We encouraged him to continue running distances that he could manage and report back if pain increased.
Having reached his 3 month mark of treatment, our Tauranga podiatrist referred for a follow up x-ray to measure the differences. You can clearly see there is a fantastic change in the before and after x-ray below. Jim is now back running 4 times a week with no pain and he has stated his fitness is back!


At Corrective Foot Solutions, we believe that quality of life is important – and that means the ability to move freely! We use advanced hands-on assessment podiatry techniques that treat the underlying cause of your foot problems, and provide measurable and objective feedback on your progress. We love seeing you get back on your feet – whether it’s walking that extra kilometre, keeping up with the kids, running or just being able to wear the shoes you love.
"I only wish I had found you sooner!"
Finally, a Podiatry solution to fix your aching body. FMT is a extremly effective alternative to expensive surgery and orthotics. You can also wear the shoes you want!
