A number of patients that have attended Corrective Foot Solutions have been frustrated that no one has discussed the underlying cause of their foot issues or created a plan to address the underlying cause, for long term benefits. Pain as a result of tissue damage or inflammation is usually caused by two main underlying causes.
The first underlying cause to foot problems is due to subluxation in the joints of their feet, which basically means the joints are out of alignment. These misalignments affect the way we stand and walk. As a result, the joints, connective tissue and soft tissues become overloaded and therefore the body compensates. Your body’s attempt to compensate will lead to joint degeneration, soft tissue inflammation and eventually pain.
If the muscles in the arch and foot function poorly or are weak, this will contribute to foot, ankle, knee and back pain. Obviously the function of these muscles is largely affected by the alignment or misalignment of the joints. The fantastic news is that it is relatively easy to build up the muscle strength in our feet if you know how to and with some guidance. We hear all the time that patients have been given or attempted foot exercises that didn’t work. The downside is that the alignment of the joints had not been addressed. If you don’t get the alignment of the joints corrected via advanced Foot Mobilisation, you won’t correct the underlying cause of your foot problems and will potentially be reliant on external devices like orthotics for the rest of your life.
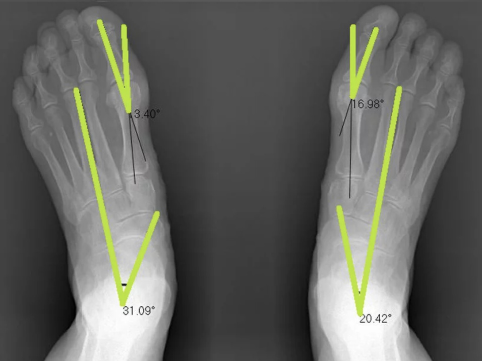
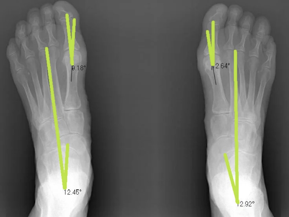
Below is Margaret Perry's before and after x-rays. Margaret had tried orthotics but found they were extremely limiting as they didn't fit in her shoes and didn't improve her foot pains.
We completed a course of Foot Mobilisation Therapy, which is a hands on technique that gently corrects the alignment of the foot and lower leg.
You can clearly see the joint misalignment has improved and she is standing straighter . Her bunion angles have reduced and the bone (talus) in her ankle has repositioned into a normal position which is between 12-18 degrees!


"I only wish I had found you sooner!"
Finally, a Podiatry solution to fix your aching body. FMT is a extremly effective alternative to expensive surgery and orthotics. You can also wear the shoes you want!
